
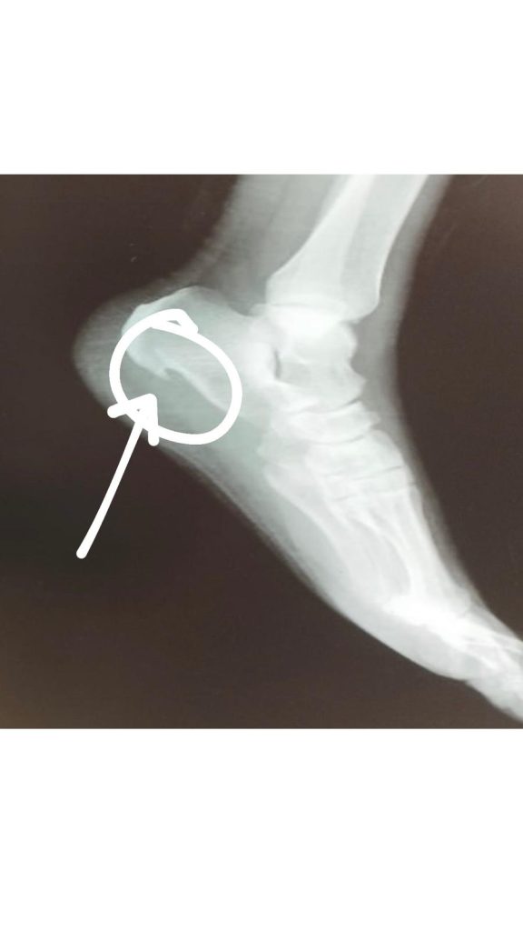
Es otra de las patologías que tratamos en la clínica muy a menudo. Suele estar relacionado con la fascitis plantar.
Procuramos redistribuir las cargas y eliminar la presión del punto doloroso, evitando el mecanismo lesivo. Todo ello, mediante el correcto estudio de la pisada, plantillas y si fuera necesario pruebas complementarias.
